sorusgentrification.com
HOME
About
Contact
Disclaimer
Privacy
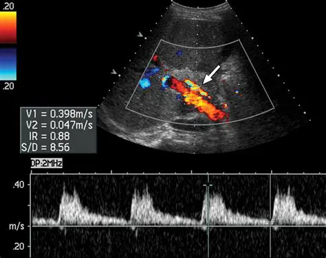
Doppler Ultrasound in Liver Disease
Oct 13, 2025
by sorusgentrification.com
57
views