sorusgentrification.com
HOME
About
Contact
Disclaimer
Privacy
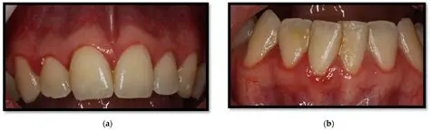
Factors That Can Aggravate Gingival Inflammation
Oct 13, 2025
by sorusgentrification.com
127
views